Offline
Neuroanatomie avec des tranches interactives et des analyses IRM du cerveau humain et de la moelle épinière
Application de neuroanatomie interactive
Apprenez votre neuroanatomie à l'aide d'images cartographiées interactives. Chaque tranche a des régions neuroanatomiques cartographiées afin que vous puissiez vous familiariser avec les noyaux et les voies du cerveau et de la moelle épinière. J'espère que NeuroSlice sera utile pour former des neurologues, des neurochirurgiens, des étudiants en médecine et des étudiants en neurosciences.
Ceci est la toute première version; Si vous avez des problèmes avec cette application, veuillez m'envoyer un e-mail et je vais essayer de le résoudre dans la mise à jour!
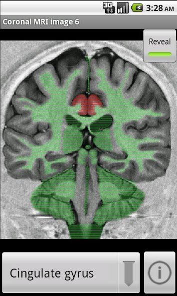
Neuroscan comprend 40 images prises à partir d'IRM et de sections de cerveau colorées, qui ont été marquées numériquement avec les régions anatomiques. Ils sont tous téléchargés dans les 6 Mo afin que vous puissiez naviguer hors ligne.
Le programme vous permet de
1) Appuyez sur une région pour la mettre en surbrillance et son nom sera affiché
2) Sélectionnez le nom d'une région, et la région sera mise en évidence
3) Recherchez la base de données des régions pour montrer qui tranche un locus donné est visible.
La plupart des régions ont également une brève description, expliquant l'importance de la région. et peut être lié à Wikipedia si vous avez une connexion Internet.
Enfin, il existe un mode de test (bêta) dans lequel vous pouvez vous tester de deux manières. Soit vous devez toucher la région dont le nom est affiché, soit vous devez sélectionner le nom de la région qui est mis en évidence.
Le logiciel est écrit par Sanjay Manohar (http://www.smanohar.com) qui a également écrit le simulateur de physiologie Hom en collaboration avec Roger Carpenter (http://www.homphysiology.org).
Pour contacter l'auteur, envoyez-moi un courriel à [email protected].
Vous voulez en savoir plus?
-----------------------------
Cette application a été développée pour soutenir la cinquième édition de la neurophysiologie: une approche conceptuelle, 5e de Roger Carpenter et Benjamin Reddi - une `` stop Shop '' inégalée pour les étudiants de médecine, de physiologie et de physiologie appliquée, de neurophysiologie, de neuroscience et d'autres cours de bioscience et de neurosciences. Cliquez ici pour acheter: http://www.crcpress.com/product/isbn/9781444135176
Acheteurs de la neurophysiologie: une approche conceptuelle, 5E a également un accès gratuit à un site Web compagnon: http://cw.tandf.co.uk/neurophysiology/ - qui fournit d'autres ressources interactives pour soutenir l'enseignement et l'apprentissage:
• Neurolab - expositions interactives;
• NeuroSound - clips sonores illustrant le chapitre sur le système auditif;
• Neurovide - un ensemble complet de clips de cinéma montrant les composants d'un examen neurologique clinique standard; et
• Neuroquiques - Seize ensembles de MCI interactifs.
Crédits
L'application a été développée par le Dr Sanjay Manohar de l'Université d'Oxford. Le matériel de Neuroscan et de Neuroslice a été mis en place par Alice Miller de la faculté de médecine d'Edimbourg, et les programmes Java pour Desktop ont été écrits par Sanjay Manohar et Robin Marlow.
Le matériel histologique a été pris, avec la permission, de Riley Ha, un atlas des noyaux gris centraux, du tronc cérébral et de la moelle épinière, 1943, Williams et Wilkins, Baltimore, et les scans d'IRM sont pris de Gillespie JE et Jackson A (éd.), IRM et CT of the Brain, 2000, Hodder Arnold, Londres, par Kind Autorisation.
Une grande partie du développement de ce matériel a été soutenue par un prix au RHSC de l'Institut pour l'apprentissage et l'enseignement.
Obtenez des primogems gratuits, Mora, de l'expérience, et plus encore avec ces codes d'impact Genshin de novembre 2024, 5.1 codes en direct et découvrez comment échanger les codes actifs.
Si vous vous ennuyez de jouer à la version vanille de Metaphor Refantazio, vous pouvez consulter ces cinq mods.
Vous êtes aux prises avec vos soumissions pour l'événement Haunt de Roblox en 2024? Consultez notre guide sur l'utilisation de la robe pour impressionner pour créer vos captures!
Notre procédure pas à pas pour Dragon Age: The Veilguard avec quelques conseils et astuces pratiques, avec des guides pour les puzzles, les boss, les compagnons, l'équipement, la romance et plus encore!
Quelle faction devez-vous choisir à l'âge du dragon: le Veilguard?
Vous cherchez des ressources bonus dans Sea of Conquest: Pirate War? Nous vous avons couvert de ces codes pour les derniers cadeaux de mer.
Sur notre site Web, vous pouvez facilement télécharger la dernière version de NeuroSlice! Aucune inscription ni SMS requis !